“Simple” Elbow Dislocation
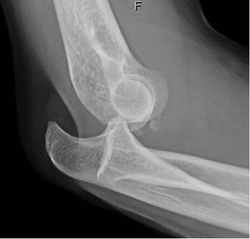
The Case: 44-year-old man with a fall presents with right elbow pain. On examination, the elbow is held at 45 degrees flexion with posterior prominence of the olecranon. The extremity is neurovascularly intact. A radiograph obtained reveals a posterior elbow dislocation which is reduced with procedural sedation.
Why it Matters: A simple posterior elbow dislocation is one without concomitant fractures (other than small periarticular avulsions 1-2 mm in diameter). While complex elbow dislocations (large intra-articular fractures, most commonly of the radial head and/or coronoid process) frequently require surgery due to significant soft tissue injury and joint instability, simple elbow dislocations are reduced in the emergency department with procedural sedation. Just like any extremity injury requiring a reduction, a documented neurovascular exam before and after the procedure is performed. This is particularly important for elbow dislocation as there are several important neurovascular structures in close proximity. Watch out for injuries to the brachial artery (rare, but often subtle), ulnar, or median nerve.
While the majority of patients with simple elbow dislocations have good long-term results, 2% will require surgery and 8% will go on to have symptoms of persistent instability. Because of the possibility of joint instability following simple dislocations, examination of the elbow immediately post-reduction helps the orthopedist guide further care. Testing for ligamentous integrity and instability later in the clinic is usually limited due to pain inhibition. Because of this, communication with the orthopedist, and giving them the opportunity to be present for the reduction may serve the patient’s best interest.
References:
Germann CA, Goddard BM. Elbow. In Sherman SC (Ed). Simon’s Emergency Orthopedics. McGraw-Hill Education. New York, NY. 2019.
Robinson PM, Griffiths E, Watts AC. Simple Elbow Dislocation. Shoulder Elbow. 2017; 9(3): 195-204.
Written by Dr. Scott Sherman, Cook County Health, Associate Program Director
